开云体育她直言我方上排牙全作念了烤瓷贴片-开云「中国」kaiyun网页版登录入口

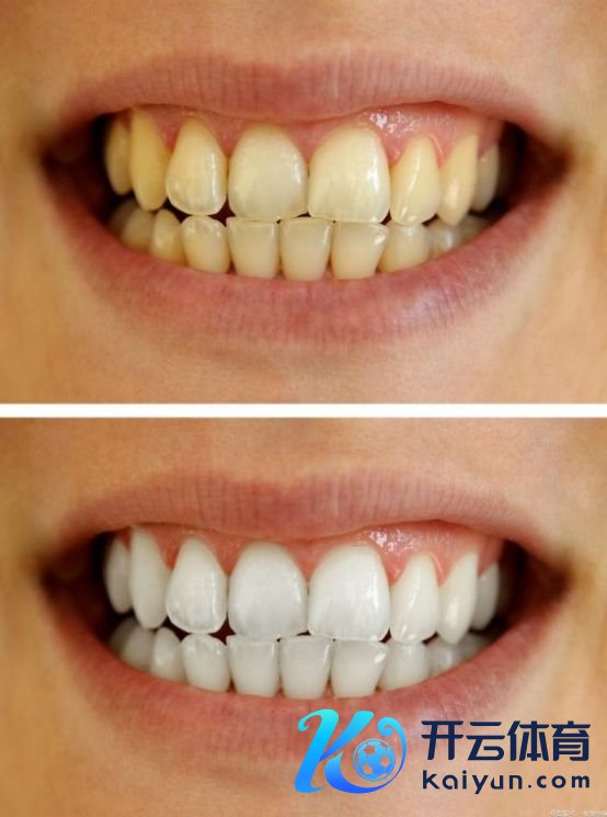
看徐璐直播片断时,信服不少东谈主都跟我相通,一眼就被她的牙齿给蛊惑住了,但不是因为面子,而是因为太反差。上排牙白得能反光,跟贴了一层珍珠似的,可一咧嘴,下排牙就露了馅,黄得发暗,跟上头的牙齐备不是一个端倪,看着卓绝别扭。

原本以为是灯光问题,随机是她没刷干净牙,收场评述区里粉丝比我还告成,就地就追问她,为啥高下牙色差这样大,是不是作念了什么作为。换作念别的明星,可能会打个哈哈哄骗畴前,要么就找个借口圆一下,但徐璐是真敢说,告成就摊牌了。

她直言我方上排牙全作念了烤瓷贴片,没别的原因,即是为了镜头里那一秒的笑貌能面子点,能经得住高清镜头的锻练。这话一出来,评述区告成炸了,有东谈主说她实在,也有东谈主酷好,既然都作念了,为啥不干脆高下全作念,偏巧只作念一半,难谈是差钱?

其实真不是钱的事,我们庸碌东谈主可能认为,明星作念个牙还不是小事,花点钱就能科罚,但只消委果作念过烤瓷贴片的东谈主才知谈,这玩意儿看着光鲜,背后全是用功。徐璐我方也说,烤瓷贴片脆得跟威化饼似的,略略用点力就可能倾圯。

她当今连啃个苹果都不敢告成下嘴,必须切成小块,用后牙徐徐嚼,像螃蟹、排骨这种略略少许的菜,她根柢碰都不敢碰,生怕一不留神把贴片给磕坏了。更绝的是,她作念完上排牙之后才发现,我方讲话和笑的时候,下牙阐发来的反而更多。

当初作念的时候没议论到这少许,当今就形成了这种莫名的色差,况兼医师还挑升教导她,当今每次大笑都得刻意舍弃嘴角的弧度,不行笑得太疏漏,否则下牙的黄色会更赫然,还可能因为发力失当损坏上排的贴片。

我们粗浅在电视上、综艺里看到徐璐的笑貌,看着卓绝甜、卓绝完整,可谁能思到,这每一个笑貌背后,都是她刻意舍弃的收场,这份完整,竟是拿吃饭的解放换来的。可能有东谈主会认为,不即是一口牙吗,至于这样较真?

但你如果了解文娱圈的规章就知谈,当今的明星,根柢没东谈主敢用原装牙上镜,尤其是在4K镜头眼前,那几乎即是照妖镜。别说牙齿黄、牙齿不都了,就算是牙缝里有少许菜叶,都能被拍得清纯洁白,放大好几倍给不雅众看。

关于靠脸和形象吃饭的明星来说,这少许点小纰谬,都可能被无尽放大,以致影响资源、影响路东谈主缘,是以他们只可思尽目的,把我方的牙齿打形成“上镜款”。而烤瓷贴片,即是最快捷、最灵验的表情。

它不像正畸那样需要两三年的技巧,只消几个月以致几周就能科罚,能快速让牙齿变得洁白整都,完整契合影视剧和综艺紧凑的拍摄周期,是以成了许多明星的首选。但很少有东谈主知谈,这一口白到晃眼的明星牙,背后藏着几许不为东谈主知的倒霉。

就像徐璐这样,作念完贴片之后,牙齿会变得卓绝敏锐,许多东谈主都会深宵被酸水疼醒,粗浅喝个冰水、吃个酸的东西,牙齿都会钻心肠疼,只可硬生生忍着。况兼烤瓷贴片并不是暂劳永逸的,它有使用寿命,一般也就5到15年,好少许的材料能用到20多年。

后续需要依期珍惜,每隔半年到一年就得去病院复查,还要用软毛牙刷和专门的低研磨性牙膏,略略不正经,就可能出现零散、倾圯的情况。不光是徐璐,文娱圈里许多明星都有过肖似的阅历。

刘涛就曾公开烦恼,说我方为了一口烤瓷牙,前前后后修修补补花了300多万,相称于嘴里含了一套房,可就算这样,照旧通常出问题,不仅牙龈发黑,还得一直留神翼翼地保护,不敢吃硬东西。

黄小蕾也吐槽过,我方作念了烤瓷牙之后,啃个兔头都得费半天劲,若何啃都啃不动,柳岩更是说我方的烤瓷牙动不动就掉,戚薇的烤瓷牙以致告成劈了一块,这些都是明星们不肯公开的小无奈。

还有许多明星,为了追求极致的上镜遵守,把牙齿作念得过于洁白,收场在镜头下白得发蓝、发灰,像糊了一嘴墙皮,卓绝假,反而一举两失。比如张天爱的牙齿,白得比粉底还白,在闪光灯下几乎晃眼,网友都簸弄她的牙能亮瞎东谈主。

迪丽热巴作念完牙之后,牙齿太大,笑起来嘴角都被撑得紧绷,看着卓毫不当然;陈妍希原本有酒涡,笑起来卓绝甜,可作念完烤瓷牙之后,面相都变了,笑起来牙龈露太多,依然的沈佳宜滤镜告成碎了一地。

可能有东谈主会说,明星赚那么多钱,付出这些代价亦然应该的,但说真话,我们只看到了他们名义的光鲜,却没看到他们背后的付出。他们作念烤瓷牙,不是为了我方爱好意思,更多的是为了责任,为了投合镜头的条目,为了给不雅众呈现更好的形象。

对他们来说,牙齿早就不是单纯的体格器官,而是他们的分娩用具,就像我们庸碌东谈主上班需要用到电脑、用到用具相通,他们上镜就需要用到这口“完整”的牙齿,是以他们必须留神翼翼地珍惜,哪怕糟跶我方的饮食解放、糟跶牙齿的健康,也得咬牙坚合手。

徐璐的坦诚,其实卓绝珍贵,在文娱圈里,许多明星都对我方作念牙齿、作念医好意思这件事吞吞吐吐,或许被网友吐槽“不确切”,或许龙套我方的完整东谈主设,可徐璐却大大方方地承认,不躲避、不好意思化,把我方的无奈和付出都告诉粉丝。

这份确切,反而比那些千人一面的完整假面更圈粉。我们粗浅看文娱瓜,图的即是这种确切不失误,不是那种包装好的、假惺惺的东谈主设,徐璐这波操作,如实戳中了许多东谈主的点。

其实仔细思思,不光是明星,我们庸碌东谈主有时候也会为了糊口、为了责任,作念出一些和洽和糟跶,仅仅明星的糟跶被放大了,被更多东谈主看到了辛苦。他们看似光鲜亮丽,赚得多、过得好,但背后要承受的压力、要付出的代价,远比我们思象的多。

他们不行独揽自由地大笑,不行堂堂皇皇地吃我方爱吃的东西,以致连我方的牙齿都不行保留原装的开云体育,只可通过东谈主工创新,来闲散行业的条目。是以说,别再惊奇明星那口白到晃眼的假牙了,那背后全是不为东谈主知的和洽和糟跶,真碰劲钱的不是贴上去的瓷,是咬紧牙关把本能咽下去的做事修养。
